03/07/2025
En el dinámico panorama laboral actual, la formación continua se ha convertido en una pieza clave para el éxito profesional. Sin embargo, la búsqueda del curso o máster adecuado puede ser una tarea abrumadora, dada la inmensa variedad de opciones disponibles. Es aquí donde plataformas especializadas en la comparación de ofertas formativas juegan un papel fundamental, simplificando el proceso y asegurando que cada elección sea una inversión inteligente en tu futuro.

- La Revolución del Aprendizaje Híbrido: ¿Qué es la Modalidad Semipresencial?
- Ventajas Innegables: ¿Por Qué Optar por un Máster Semipresencial?
- Tu Brújula Educativa: Cómo Encontrar el Curso Ideal en Guías Especializadas
- Un Ejemplo de Especialización: El Máster en Ortodoncia y Ortopedia Dentofacial
- La Imperiosa Necesidad de Especialistas en un Mundo en Constante Evolución
- Preguntas Frecuentes (FAQs) sobre Másteres Semipresenciales
- Conclusión: Tu Próximo Paso hacia la Excelencia Profesional
La Revolución del Aprendizaje Híbrido: ¿Qué es la Modalidad Semipresencial?
La modalidad semipresencial, también conocida como blended learning, representa una fusión estratégica entre la formación online y la presencial. No es simplemente una mezcla de ambas, sino un diseño pedagógico que optimiza las ventajas de cada una. En un máster semipresencial, los estudiantes combinan el estudio autónomo a través de plataformas virtuales, acceso a materiales digitales y comunicación online, con sesiones periódicas y obligatorias en un campus físico. Estas sesiones presenciales suelen estar dedicadas a actividades prácticas, talleres, laboratorios, seminarios intensivos, exámenes o tutorías personalizadas, elementos que enriquecen significativamente la experiencia de aprendizaje y fomentan la interacción directa con profesores y compañeros.
Este formato está diseñado para aquellos que buscan la flexibilidad de estudiar a su propio ritmo sin renunciar al valor del contacto humano y la experiencia práctica que solo la presencialidad puede ofrecer. Es una respuesta a las necesidades de profesionales que ya están en el mercado laboral y necesitan compatibilizar su formación con sus responsabilidades, pero que, a su vez, valoran la interacción y el aprendizaje experiencial.
Ventajas Innegables: ¿Por Qué Optar por un Máster Semipresencial?
Elegir un máster en modalidad semipresencial conlleva una serie de beneficios que lo convierten en una opción altamente atractiva para un amplio espectro de estudiantes:
- Flexibilidad Adaptada a Tu Vida: Esta es, sin duda, la ventaja más destacada. La estructura semipresencial permite a los estudiantes organizar su tiempo de estudio de manera autónoma, adaptándose a sus horarios laborales y compromisos personales. Las sesiones presenciales suelen concentrarse en bloques específicos (fines de semana, semanas intensivas), minimizando el impacto en la rutina diaria.
- Reducción de Costos: Generalmente, el precio de un máster semipresencial es significativamente inferior al de uno completamente presencial. Esto se debe a la optimización de recursos e infraestructura física. Además, se reducen los gastos asociados a traslados diarios, alojamiento o manutención en la ciudad de estudio.
- Interacción y Networking de Calidad: A diferencia de la modalidad 100% online, el formato semipresencial ofrece valiosas oportunidades para el networking. El contacto directo con profesores expertos y compañeros de diversas trayectorias profesionales en las sesiones presenciales facilita el intercambio de ideas, la creación de redes de contacto y el aprendizaje colaborativo.
- Aplicación Práctica del Conocimiento: Las sesiones presenciales a menudo se destinan a la realización de prácticas, simulaciones, uso de equipos especializados o debates profundos, lo que permite a los estudiantes consolidar la teoría aprendida de forma online y desarrollar habilidades prácticas esenciales para su campo profesional.
- Disploma Oficial y Reconocimiento: Un máster oficial semipresencial tiene la misma validez y reconocimiento que uno presencial. Esto es crucial para la progresión de la carrera y la habilitación profesional, especialmente si se busca trabajar en países de la Unión Europea.
- Disciplina y Autonomía: Si bien ofrece flexibilidad, la modalidad semipresencial también fomenta la autodisciplina y la gestión del tiempo, habilidades valiosas en cualquier ámbito profesional. Los estudiantes aprenden a ser proactivos en su aprendizaje y a tomar las riendas de su formación.
Tu Brújula Educativa: Cómo Encontrar el Curso Ideal en Guías Especializadas
Navegar por el vasto océano de la oferta formativa puede ser un desafío. Aquí es donde las guías de cursos y másteres, como DCursos.com, se convierten en tus mejores aliados. Estas plataformas están diseñadas para simplificar tu búsqueda y asegurar que encuentres la opción que mejor se adapte a tus necesidades y aspiraciones.
¿Cómo funcionan estas guías para ayudarte a encontrar tu máster o curso ideal?
- Buscadores Inteligentes: La forma más directa de encontrar lo que buscas es a través de un motor de búsqueda intuitivo. Basta con introducir palabras clave (por ejemplo, "máster en ortodoncia", "curso de naturopatía", "gestión empresarial") y, con un solo clic, obtendrás un listado de ofertas formativas que se ajustan a tu criterio. Estas herramientas suelen ofrecer comparativas y consejos adicionales para facilitar tu decisión.
- Organización por Temáticas: Si no tienes un curso específico en mente, puedes explorar las opciones a través de categorías temáticas. Las guías suelen clasificar los cursos y másteres por áreas de conocimiento (salud, tecnología, negocios, educación, etc.) y por modalidad (online, a distancia, semipresencial). Esto te permite descubrir nuevas áreas de interés o acotar tu búsqueda dentro de un sector específico.
- Guía de Centros y Universidades: Si tu interés radica en una institución educativa en particular, o si buscas opciones dentro de universidades o escuelas de negocio de renombre, estas plataformas también te permiten explorar directamente los perfiles de los centros de formación acreditados. Así, puedes conocer su oferta completa y su trayectoria.
- Asesoramiento Profesional Personalizado: Muchas guías ofrecen un servicio de asesoramiento. Un equipo de profesionales en formación puede ayudarte a resolver dudas, analizar tus necesidades y proponerte las opciones que mejor se adapten a tu perfil, ya sea por teléfono o mediante citas presenciales. Este acompañamiento es invaluable para tomar una decisión tan importante.
- Garantía de Calidad Acreditada: Una de las mayores ventajas de utilizar estas guías es que suelen filtrar las ofertas formativas, incluyendo solo aquellas que cuentan con una calidad acreditada. Esto te brinda la tranquilidad de que el título o la certificación que obtendrás será reconocido y valorado en el mercado laboral.
Estas plataformas se convierten en un punto de encuentro entre la demanda de formación y la oferta de centros educativos, garantizando que el proceso de elección sea informado, eficiente y exitoso.

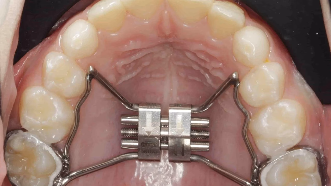
Un Ejemplo de Especialización: El Máster en Ortodoncia y Ortopedia Dentofacial
Para ilustrar la relevancia de la formación especializada en modalidad semipresencial, tomemos como ejemplo el Máster en Ortodoncia y Ortopedia Dentofacial. Este postgrado, diseñado para profesionales de la odontología que buscan una alta especialización, suele tener una duración considerable, como 3 años, y un volumen de estudio de aproximadamente 4800 horas.
El temario de un máster de esta índole es exhaustivo, cubriendo aspectos fundamentales como:
- La etiología y patogenia de las maloclusiones y deformidades dentofaciales.
- El diagnóstico y pronóstico de las diferentes formas clínicas.
- Los distintos sistemas terapéuticos y sus aplicaciones.
- Metodología científica aplicada a la investigación en ortodoncia.
- Herramientas y tecnologías avanzadas en ortodoncia.
- Planificación integral del tratamiento ortodóncico y ortopédico.
- Técnicas de cementado de bandas y brackets.
- Ortodoncia multidisciplinar, integrando otras especialidades odontológicas.
La metodología semipresencial es especialmente beneficiosa en este tipo de másteres, ya que permite a los profesionales en activo continuar con su práctica clínica mientras adquieren conocimientos avanzados. La flexibilidad horaria se complementa con la posibilidad de realizar prácticas en laboratorio y prácticas clínicas reales, elementos cruciales para desarrollar una base sólida de experiencia laboral y dominar las técnicas necesarias. Este seguimiento continuo y la combinación de teoría online con práctica presencial aseguran una formación integral y de alta calidad, preparando a los graduados para abordar casos complejos y convertirse en referentes en su campo.
La Imperiosa Necesidad de Especialistas en un Mundo en Constante Evolución
El ejemplo del Máster en Ortodoncia y Ortopedia Dentofacial, al igual que otros campos de la medicina y la ciencia, subraya una tendencia global: la creciente demanda de profesionales altamente especializados. La complejidad de las enfermedades y los desafíos actuales requiere de un enfoque multidisciplinario y de expertos con conocimientos profundos en áreas específicas.
Consideremos, por ejemplo, la prevalencia de la Diabetes Mellitus (DM). Con 540 millones de adultos afectados globalmente en 2021, y proyecciones de 783 millones para 2045, esta enfermedad representa una verdadera epidemia. En países como Argentina, la prevalencia ya alcanza el 12,7%. Las implicaciones son vastas: la DM duplica el riesgo de enfermedades cardiovasculares y accidentes cerebrovasculares, siendo estas la principal causa de discapacidad y muerte en pacientes con DM tipo 2. Su abordaje requiere de un equipo multidisciplinario que incluya endocrinólogos, nutricionistas, podólogos, enfermeros educadores y otros especialistas.
Esta realidad no es exclusiva de la diabetes; se replica en innumerables campos, desde la tecnología de la información y la inteligencia artificial hasta la sostenibilidad ambiental y la biotecnología. Las sociedades modernas enfrentan problemas que demandan soluciones innovadoras y, para ello, se necesitan profesionales con una formación que vaya más allá de lo generalista. La especialización, a través de másteres y postgrados, dota a los individuos de las herramientas y el conocimiento preciso para abordar estos desafíos complejos, prevenir complicaciones y mejorar la calidad de vida de las poblaciones.

Las universidades y centros académicos, como el Hospital Universitario Austral con su servicio de especialidad en diabetes, reconocen esta necesidad y estructuran programas que integran la formación académica de excelencia con la práctica clínica. Es esta sinergia la que forja a los profesionales capaces de liderar el cambio y la innovación en sus respectivas áreas. Estudiar un máster, especialmente en una modalidad flexible como la semipresencial, es una respuesta directa y efectiva a esta demanda de especialización global.
Preguntas Frecuentes (FAQs) sobre Másteres Semipresenciales
Resolver las dudas más comunes es clave para tomar una decisión informada. Aquí respondemos a algunas de las preguntas más frecuentes sobre los másteres semipresenciales:
| Pregunta | Respuesta Detallada |
|---|---|
| ¿Cuánto dura un máster semipresencial? | La duración varía considerablemente según el programa y la universidad. Generalmente, un máster semipresencial puede durar entre uno y dos años académicos si es a tiempo completo. Sin embargo, programas muy especializados o a tiempo parcial pueden extenderse hasta tres años, como es el caso del Máster en Ortodoncia y Ortopedia Dentofacial que puede durar 3 años. |
| ¿Los títulos semipresenciales son oficiales? | Sí, absolutamente. Si el máster es oficial y está reconocido por el Ministerio de Educación (en España) o la autoridad educativa competente en el país correspondiente, el título obtenido tendrá la misma validez y reconocimiento que un máster presencial u online. Es fundamental verificar que el programa sea un "Máster Oficial". |
| ¿Es más difícil un máster semipresencial que uno presencial o online? | La dificultad es comparable. La exigencia académica y el rigor de los contenidos son los mismos. La diferencia radica en la metodología de estudio. La modalidad semipresencial requiere de mayor autodisciplina y organización personal para gestionar el estudio online, pero también ofrece el apoyo y la interacción de las sesiones presenciales, lo que puede facilitar la comprensión de temas complejos. |
| ¿Cómo se evalúa en la modalidad semipresencial? | La evaluación suele ser un sistema híbrido. Puede incluir exámenes presenciales, trabajos individuales o en grupo entregados online, participación en foros virtuales, proyectos prácticos, presentaciones en las sesiones presenciales y, por supuesto, la defensa de un Trabajo de Fin de Máster (TFM). El seguimiento del progreso del alumno se realiza de forma continua. |
| ¿Puedo realizar prácticas profesionales en un máster semipresencial? | Sí, muchos másteres semipresenciales incluyen la posibilidad, e incluso la obligatoriedad, de realizar prácticas profesionales o clínicas. Estas prácticas pueden ser presenciales y se programan de manera que sean compatibles con el formato semipresencial del estudio, aportando una invaluable experiencia laboral al finalizar el período formativo. |
Conclusión: Tu Próximo Paso hacia la Excelencia Profesional
La elección de un máster es una de las decisiones más significativas en la trayectoria profesional de cualquier individuo. En un mercado laboral cada vez más competitivo y en constante cambio, la especialización y la formación continua son pilares para el crecimiento y el éxito. La modalidad semipresencial emerge como una solución ideal, equilibrando la necesidad de flexibilidad con la riqueza de la interacción y la aplicación práctica.
Plataformas como DCursos.com no solo simplifican esta búsqueda, sino que garantizan el acceso a ofertas formativas de calidad acreditada, permitiéndote comparar y elegir con confianza. Ya sea que busques profundizar en ortodoncia, adentrarte en el análisis de datos o cualquier otra disciplina, la clave está en encontrar un programa que no solo te dote de conocimientos, sino que te prepare para los desafíos del mañana.
No esperes más para dar el siguiente paso en tu carrera. Consulta las guías de cursos, explora las diversas modalidades y encuentra ese máster semipresencial que te permitirá despegar profesionalmente, con la seguridad de que estás invirtiendo en un futuro más brillante y lleno de oportunidades.
Si deseas conocer otros artículos similares a Encuentra Tu Máster Semipresencial Ideal, puedes visitar la categoría Ortopedia.
