15/03/2014
Los huesos son las estructuras fundamentales que proporcionan sostén y soporte al cuerpo humano, constituidos por una compleja red de células y tejidos especializados. Sin embargo, el tejido óseo en los niños presenta una particularidad distintiva en comparación con el de los adultos: durante los años cruciales del desarrollo infantil, los huesos albergan una zona especializada conocida como el cartílago del crecimiento, también denominada fisis o placa epifisaria. Esta estructura dinámica es la responsable directa del aumento tanto del largo como del ancho de los huesos, un proceso vital que define el desarrollo esquelético del individuo desde la infancia hasta la adolescencia.

- ¿Qué es la Fisis y Dónde se Localiza Exactamente?
- La Crucial Función del Cartílago de Crecimiento en el Desarrollo Óseo
- Las Capas de la Fisis: Un Mundo de Crecimiento Celular Organizado
- El Cierre de la Fisis: ¿Cuándo Dejan de Crecer Nuestros Huesos?
- Lesiones del Cartílago de Crecimiento: Un Desafío en la Infancia
- Abordando las Lesiones Fisiarias: Opciones de Tratamiento
- Los Centros de Osificación Epifisarios
- Caso Clínico: Genu Recurvatum y su Relación con la Fisis
- Preguntas Frecuentes (FAQ) sobre la Fisis
¿Qué es la Fisis y Dónde se Localiza Exactamente?
El cartílago de crecimiento, o fisis, es una lámina de cartílago que se encuentra exclusivamente en los huesos de niños y adolescentes. Es una estructura que no se halla en los adultos, ya que su propósito está intrínsecamente ligado al proceso de maduración ósea. Anatómicamente, cada hueso largo está conformado por dos extremos (epífisis), un cuerpo central (diáfisis) y dos zonas intermedias que conectan el cuerpo con los extremos. Es precisamente en estas zonas intermedias donde la fisis se localiza de manera estratégica.
Esta región intermedia recibe el nombre de metáfisis. Por lo tanto, la fisis se sitúa en la metáfisis, justo entre la diáfisis y la epífisis, en los extremos de los huesos largos. Su ubicación no es casual; es desde esta área donde se inicia y se mantiene el proceso continuo de formación de nuevo tejido óseo, mientras el cartílago de la fisis se regenera constantemente, permitiendo el crecimiento longitudinal del hueso.
La Crucial Función del Cartílago de Crecimiento en el Desarrollo Óseo
La función principal del cartílago de crecimiento es facilitar el aumento de la longitud y el grosor de los huesos durante los años de desarrollo. Este proceso se lleva a cabo mediante un mecanismo biológico complejo conocido como osificación endocondral. La osificación endocondral es el método principal por el cual los huesos largos aumentan su longitud, y ocurre de manera exclusiva en las líneas de crecimiento o fisis.
Dentro de la fisis, residen unas células especializadas llamadas condrocitos. Estas células se encuentran en un estado de constante división celular, o mitosis, replicándose y alineándose unas sobre otras en largas columnas. Este apilamiento ordenado de condrocitos es lo que permite el alargamiento progresivo del hueso. A medida que los condrocitos se alejan de la zona de reposo, comienzan a degenerar y se transforman en osteoblastos, que son las células encargadas de formar nuevo tejido óseo. Este nuevo tejido se osifica y se endurece gracias a la deposición de minerales esenciales, como el calcio, lo que confiere la rigidez característica del hueso maduro. En esencia, la fisis actúa como una fábrica de hueso en miniatura, produciendo continuamente material que luego se convierte en tejido óseo sólido.
Las Capas de la Fisis: Un Mundo de Crecimiento Celular Organizado
El cartílago de crecimiento no es una estructura homogénea; por el contrario, está compuesta por varias capas distintas, cada una con un papel específico en el proceso de crecimiento óseo. En estas capas, las células se comportan de manera diferenciada para asegurar un desarrollo coordinado y eficiente. Las principales capas de la fisis son:
- Zona de Reposo: Es la capa más cercana a la epífisis y contiene condrocitos inactivos que sirven como reserva.
- Zona Proliferativa: Aquí los condrocitos se dividen activamente y se disponen en columnas, empujando la epífisis lejos de la diáfisis y contribuyendo directamente al aumento de la longitud del hueso.
- Zona de Cartílago Hipertrófico: En esta capa, los condrocitos aumentan de tamaño (hipertrofia), acumulando lípidos y glucógeno. Esta expansión celular contribuye significativamente al alargamiento del hueso y prepara la matriz para la calcificación.
- Zona de Cartílago Calcificado: La matriz cartilaginosa alrededor de los condrocitos hipertróficos se calcifica. Los condrocitos mueren en esta etapa, dejando un andamiaje calcificado.
- Zona de Osificación: Es la capa más cercana a la diáfisis. Los vasos sanguíneos invaden esta zona, y los osteoblastos se adhieren al andamiaje calcificado para depositar nuevo tejido óseo. Es aquí donde el cartílago es finalmente reemplazado por hueso maduro.
El Cierre de la Fisis: ¿Cuándo Dejan de Crecer Nuestros Huesos?
El proceso que marca el fin del crecimiento longitudinal de los huesos es conocido como la osificación total del cartílago de crecimiento. Esto ocurre cuando los huesos han alcanzado su tamaño y forma definitivos, y la fisis se ha transformado completamente en tejido óseo maduro, dejando de regenerarse. La edad a la que se produce esta osificación varía ligeramente entre individuos y huesos, pero en general, se estima que la osificación completa de la mayoría de las fisis ocurre alrededor de los 16 años.

A partir de esta edad, el tejido óseo de un adolescente se convierte en el mismo que el de un adulto, lo que significa que el crecimiento en longitud del esqueleto se detiene. Este proceso está influenciado significativamente por los cambios hormonales que tienen lugar durante la pubertad. En particular, el incremento en los niveles de estrógeno, tanto en hombres como en mujeres, juega un papel crucial. Los estrógenos provocan que los condrocitos en la fisis se degeneren más rápidamente, lo que ralentiza el proceso de crecimiento óseo hasta que toda la línea de crecimiento es reemplazada por hueso, poniendo fin al crecimiento.
Un ejemplo específico es la fisis tibial proximal, que se cierra alrededor de los 15 años de edad, un dato relevante en el estudio de deformidades de la rodilla como el genu recurvatum, donde un cierre prematuro o asimétrico de esta fisis puede generar alteraciones significativas en el eje mecánico de la articulación.
Lesiones del Cartílago de Crecimiento: Un Desafío en la Infancia
Dada su naturaleza cartilaginosa y su constante actividad de crecimiento, el cartílago de crecimiento es una zona vulnerable a diversas lesiones, especialmente durante la infancia y la adolescencia. La causa más común de afectación del tejido cartilaginoso del crecimiento son los traumatismos que resultan en fracturas en esta región. Cuando las fracturas interrumpen la integridad de los cartílagos del crecimiento, el pronóstico y el tratamiento dependen de varios factores.
En general, las fracturas del cartílago de crecimiento suelen tener un buen pronóstico, pero este depende directamente del tipo de daño y de la edad del niño. Para clasificar estas fracturas y guiar el tratamiento, se utiliza una clasificación ampliamente reconocida llamada Salter-Harris. Esta clasificación divide los tipos de fracturas de la fisis en 5 categorías principales, que van desde un daño menor sin desplazamiento óseo hasta lesiones más severas con división y compresión interna del tejido cartilaginoso y óseo. El tipo más severo de esta clasificación es el tipo V, que implica una compresión o aplastamiento de la fisis, y que puede ocasionar que el desarrollo normal de la fisis se altere de manera significativa, llevando a un cierre prematuro o un crecimiento asimétrico del hueso.
Abordando las Lesiones Fisiarias: Opciones de Tratamiento
El tratamiento de las lesiones que afectan el cartílago de crecimiento es un proceso que debe ser cuidadosamente individualizado, ya que depende de múltiples factores clínicos y de la gravedad específica del problema. Los elementos clave que el especialista considera incluyen:
- La localización exacta de la placa de crecimiento afectada.
- La extensión o magnitud de la zona lesionada.
- El potencial de crecimiento residual que se espera de esa placa fisiaria, es decir, cuánto más se espera que crezca ese hueso.
En los casos de lesiones fisiarias que no están desplazadas y que no comprometen de manera significativa el cartílago de crecimiento, el manejo suele ser conservador. Esto implica la inmovilización de la extremidad afectada, comúnmente con un yeso, durante un período de aproximadamente 4 a 6 semanas, lo que permite que la lesión sane de forma natural sin intervención quirúrgica.

Sin embargo, en situaciones donde las fracturas o lesiones comprometen el crecimiento correcto del cartílago de crecimiento, el tratamiento se vuelve más complejo y dependerá del grado de deformidad presente y del crecimiento restante del niño. Las opciones quirúrgicas pueden incluir:
- Crecimiento guiado: Una cirugía mínimamente invasiva que busca corregir o prevenir deformidades futuras mediante la modulación del crecimiento de la fisis.
- Osteotomías de alineación: Procedimientos en los que se realiza un corte controlado en el hueso para corregir una deformidad existente o para crear espacio que permita que el cartílago de crecimiento continúe su función, evitando así un cierre prematuro y complicaciones posteriores.
Es fundamental destacar que la decisión sobre el tratamiento más adecuado siempre recaerá en el especialista, en este caso, el ortopedista pediatra. Este profesional analizará todas las variables a favor y en contra, considerando el bienestar y el desarrollo a largo plazo del niño, para poder brindarle el mejor apoyo y asegurar el resultado más óptimo.
Los Centros de Osificación Epifisarios
Además de la fisis, es importante mencionar los centros de osificación que aparecen en las epífisis. Estos centros de osificación secundarios comienzan a desarrollarse hacia el final de la vida fetal y continúan su proceso hasta la pubertad. Entre el hueso que se forma en la diáfisis (el cuerpo central del hueso) y el que se forma en la epífisis (los extremos del hueso), se encuentra la placa epifisaria, que es donde el hueso continúa creciendo en longitud. Estos centros y la placa epifisaria trabajan en conjunto para asegurar el crecimiento y la maduración ósea adecuados.
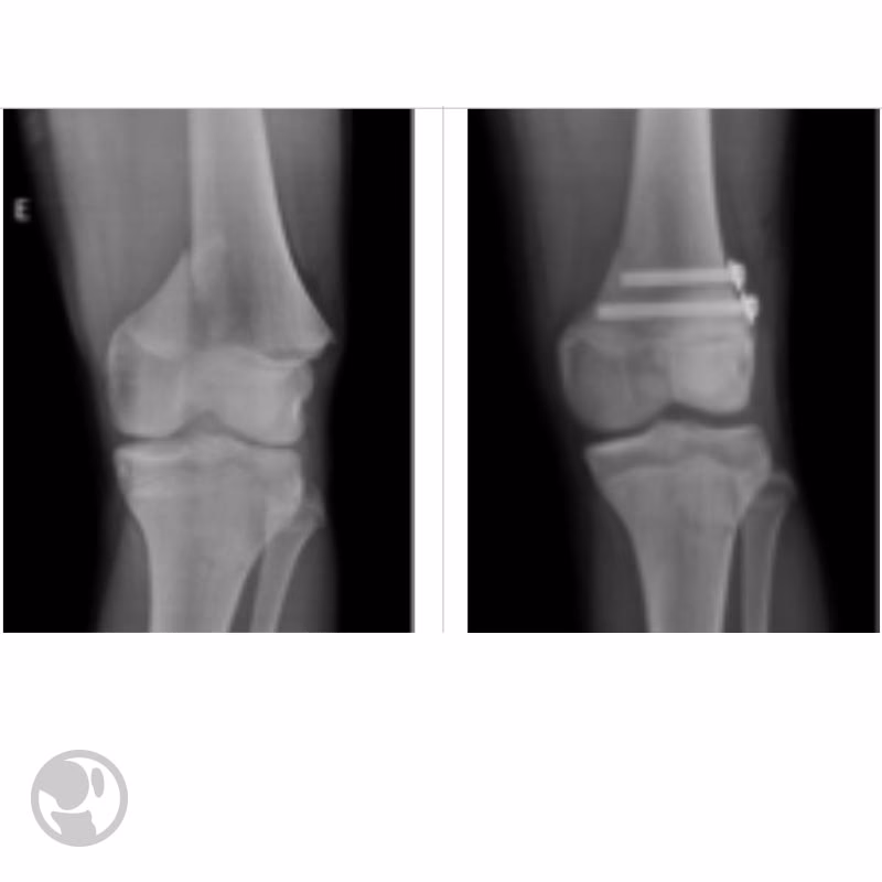
Caso Clínico: Genu Recurvatum y su Relación con la Fisis
Para comprender la importancia clínica de la fisis y sus lesiones, es útil considerar un caso de genu recurvatum adquirido, una alteración angular del eje mecánico de la rodilla en su plano sagital, definida como un ángulo superior a 15° que requiere tratamiento quirúrgico. Si bien puede ser congénito, los casos adquiridos tienen diversas etiologías, incluyendo traumatismos, tracción transesquelética, intervenciones quirúrgicas cercanas a la fisis tibial proximal, enfermedad de Osgood-Schlatter, osteomielitis o inmovilización prolongada.
Se ha documentado el caso de un paciente varón de 15 años que, un año después de sufrir un traumatismo en el tobillo izquierdo (una epifisiolisis tipo II de Salter y Harris no desplazada en la tibia distal, tratada ortopédicamente con éxito), desarrolló gonalgia, limitación funcional y una deformidad de la rodilla izquierda en genu recurvatum. Las radiografías y una resonancia magnética revelaron un genu recurvatum óseo de 25° y un cierre fisario anterior de la tibia proximal izquierda, con la fisis prácticamente cerrada en comparación con la rodilla contralateral. Esto indicaba una epifisiodesis (cierre prematuro de la fisis) de la tibia proximal.
El paciente fue sometido a tratamiento quirúrgico, consistente en una osteotomía supratuberositaria tibial con una cuña ósea de adición de homoinjerto, que permitió restaurar la altura de la meseta tibial y elevar la rótula. Este caso subraya cómo una agresión a la fisis, incluso en una zona distante (tobillo) o de origen desconocido, puede tener repercusiones significativas en el crecimiento y la alineación de otras articulaciones, destacando la necesidad de una valoración exhaustiva por parte del especialista.

Preguntas Frecuentes (FAQ) sobre la Fisis
¿Qué diferencia hay entre la fisis de un niño y la de un adulto?
La fisis, o cartílago de crecimiento, es una estructura que solo está presente en los huesos de niños y adolescentes. Es la encargada del crecimiento longitudinal de los huesos. En los adultos, esta zona se ha osificado completamente, es decir, el cartílago ha sido reemplazado por hueso maduro, y por lo tanto, el crecimiento en longitud de los huesos ha cesado.
¿A qué edad se cierra definitivamente la fisis?
El proceso de osificación completa de la fisis, que marca el final del crecimiento óseo en longitud, ocurre generalmente alrededor de los 16 años de edad. Sin embargo, esta edad puede variar ligeramente dependiendo de factores individuales y del hueso específico; por ejemplo, la fisis tibial proximal suele cerrarse cerca de los 15 años.
¿Qué es la clasificación de Salter-Harris y por qué es importante?
La clasificación de Salter-Harris es un sistema estandarizado utilizado por los médicos para categorizar los diferentes tipos de fracturas que afectan el cartílago de crecimiento (fisis) en los niños. Es de suma importancia porque el tipo de fractura, según esta clasificación, influye directamente en el pronóstico de la lesión y en el riesgo de que se produzcan alteraciones futuras en el crecimiento normal del hueso.
¿Una lesión en la fisis siempre detiene el crecimiento del hueso?
No necesariamente. El pronóstico de una lesión en la fisis depende de varios factores clave, como la gravedad y el tipo específico de daño que haya sufrido el cartílago, así como la edad del niño en el momento de la lesión. Muchas fracturas del cartílago de crecimiento, especialmente si son de tipos menos severos y se tratan adecuadamente, tienen un buen pronóstico y no afectan significativamente el crecimiento. Sin embargo, las lesiones más graves, como las clasificadas como Salter-Harris tipo V, sí tienen un alto riesgo de alterar o detener prematuramente el crecimiento del hueso.
En resumen, la fisis es una estructura anatómica de vital importancia en el desarrollo infantil, actuando como el principal motor del crecimiento óseo. Su correcto funcionamiento es esencial para la formación de un esqueleto sano y bien alineado. Las lesiones en esta área requieren una atención especializada y un manejo cuidadoso por parte de un ortopedista pediatra, quien evaluará cada caso de manera individual para garantizar el mejor pronóstico y minimizar cualquier impacto a largo plazo en el crecimiento y la funcionalidad del niño.
Si deseas conocer otros artículos similares a La Fisis: El Motor Crucial del Crecimiento Óseo, puedes visitar la categoría Ortopedia.
