09/08/2024
En el vasto universo de la ortodoncia, donde la ciencia se une al arte para esculpir sonrisas perfectas, existen herramientas que destacan por su ingenio y eficacia. Entre ellas, el aparato de Bimler se erige como una solución pionera en el tratamiento de diversas maloclusiones. A diferencia de los aparatos fijos que ejercen una fuerza constante y directa sobre los dientes, el Bimler opera bajo un principio fundamentalmente distinto y fascinante: el tratamiento dinámico funcional. Este enfoque no solo busca alinear los dientes, sino que, de manera más profunda, persigue guiar el crecimiento óseo y muscular para lograr una armonía facial y oclusal duradera. Su diseño, ideado por el Dr. Bimler, representa un hito en la ortopedia maxilar, ofreciendo una alternativa menos invasiva y más biológica para corregir desequilibrios en la mordida.

Si alguna vez te has preguntado cómo es posible corregir problemas complejos como la sobremordida o la submordida sin la necesidad de aparatos metálicos permanentes, la respuesta podría residir en este dispositivo removible, pero increíblemente potente. Acompáñanos en este recorrido para desentrañar los secretos del aparato de Bimler, entender su funcionamiento, sus distintos tipos y por qué sigue siendo una opción predilecta para muchos ortodoncistas y pacientes alrededor del mundo.
¿Qué es el Aparato de Bimler y Cuál es su Función Principal?
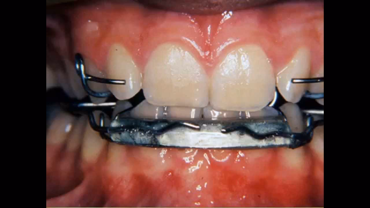
El aparato de Bimler es un dispositivo ortopédico funcional removible, diseñado por el Dr. Bimler, que se basa en un concepto bimaxilar. Esto significa que actúa simultáneamente sobre el maxilar superior y la mandíbula inferior. Su característica más distintiva y la clave de su éxito radica en su capacidad para influir en el crecimiento y desarrollo de los huesos faciales y las arcadas dentarias, no a través de una fuerza mecánica directa y pasiva, sino mediante la estimulación de los músculos orofaciales y la modificación de la función.
La función principal del aparato de Bimler es corregir las maloclusiones, es decir, las desviaciones en la forma en que los dientes superiores e inferiores encajan. Está particularmente indicado para el tratamiento de maloclusiones de Clase II y Clase III, dos de los problemas oclusales más comunes y complejos:
- Maloclusión Clase II: Se caracteriza porque los dientes superiores y/o el maxilar superior se encuentran adelantados con respecto a la mandíbula inferior. Comúnmente se conoce como sobremordida u 'overjet' excesivo. El Bimler ayuda a reposicionar la mandíbula hacia adelante y a guiar el crecimiento del maxilar superior.
- Maloclusión Clase III: En este caso, la mandíbula inferior y/o los dientes inferiores están adelantados en relación con el maxilar superior. Se le conoce como submordida o 'underbite'. El aparato de Bimler busca restringir el crecimiento mandibular o estimular el crecimiento maxilar, según el caso.
El aparato trabaja en el "espacio libre" de la cavidad oral, aprovechando los movimientos fisiológicos de la lengua, los labios y la mandíbula para generar estímulos que remodelen el hueso y guíen la erupción dental. Es un enfoque que respeta la biología del paciente, buscando una corrección más natural y estable.
El Tratamiento Dinámico Funcional: La Esencia del Bimler
El concepto de tratamiento dinámico funcional es el pilar sobre el que se asienta la eficacia del aparato de Bimler. A diferencia de los aparatos fijos que empujan o tiran de los dientes, los aparatos funcionales como el Bimler (y otros como los diseños de Klammt y Stock-fish, que comparten esta filosofía) actúan modificando el entorno neuromuscular del sistema masticatorio. Pero, ¿cómo lo logran?
El aparato no está rígidamente fijado a los dientes; en cambio, descansa en la boca, permitiendo ciertos movimientos. Este diseño permite que, durante las funciones cotidianas como hablar, tragar o incluso respirar, los músculos de la boca y la cara interactúen con el aparato. Estas interacciones generan fuerzas leves pero constantes que se transmiten a los huesos maxilares y a los dientes. Con el tiempo, estas fuerzas estimulan el crecimiento óseo en direcciones específicas y guían la posición de los dientes. Es un proceso de remodelación biológica, no solo de movimiento dental.
Imagina el aparato como un entrenador para tus músculos orales. En lugar de forzar, enseña a los músculos a funcionar de una manera que promueve una oclusión ideal. Por ejemplo, al corregir una mordida abierta, el aparato puede ayudar a que la lengua adopte una posición más elevada, cerrando el espacio. Para una Clase II, puede estimular la mandíbula a avanzar, promoviendo su crecimiento hacia una posición más armónica. Es un tratamiento que se integra con la fisiología del paciente, buscando resultados que son, en muchos casos, más estables a largo plazo debido a la corrección de la función subyacente.
Tipos y Características del Aparato de Bimler (Modelos ABC)
El Dr. Bimler desarrolló una serie de modificaciones sobre su aparato base para abordar las diferentes necesidades de los pacientes. Estas variaciones se clasifican comúnmente en tres tipos principales, conocidos como los modelos A, B y C, cada uno con características específicas diseñadas para diferentes escenarios de maloclusión. Aunque la base es la misma, los elementos activos y pasivos varían para optimizar el tratamiento.
Modelo A: El Estándar para Clase II
El modelo A de Bimler es el más utilizado y está principalmente indicado para el tratamiento de maloclusiones de Clase II, especialmente aquellas con protrusión maxilar o retrusión mandibular. Sus características incluyen:
- Arcos Labiales Superiores e Inferiores: Ayudan a controlar la posición de los incisivos.
- Resortes Coffin: Elementos en forma de W que se insertan en la parte acrílica para expandir las arcadas dentarias.
- Tornillos de Expansión (opcional): En algunos diseños, se pueden incorporar tornillos para una expansión más activa del paladar.
- Componentes Acrílicos: Placas que se adaptan a la forma del paladar y la mandíbula, sirviendo de base para los alambres y resortes.
Este modelo busca avanzar la mandíbula y/o retraer el maxilar superior, mejorando la relación anteroposterior y la estética facial.
Modelo B: Para Casos de Clase II con Mordida Abierta o Profunda
El modelo B es una variación del A, adaptada para maloclusiones de Clase II que, además, presentan problemas verticales como mordida abierta (los dientes no contactan al cerrar) o mordida profunda (los dientes superiores cubren excesivamente a los inferiores). Sus elementos pueden incluir:
- Planos Inclinados: Que pueden guiar la erupción de los dientes posteriores para cerrar una mordida abierta o deprimir los anteriores para corregir una mordida profunda.
- Apoyos Oclusales: Puntos de contacto estratégicos para influir en la dimensión vertical de la oclusión.
- Reducción de Contacto Interoclusal: En algunas áreas para permitir la extrusión o intrusión de dientes específicos.
Este diseño es más versátil en el manejo de la dimensión vertical, lo que lo hace ideal para casos con desequilibrios más complejos.
Modelo C: Enfocado en Maloclusiones de Clase III
El modelo C está específicamente diseñado para el tratamiento de maloclusiones de Clase III, donde la mandíbula está adelantada. Sus características buscan:
- Arcos Linguales Inferiores: Que pueden ayudar a retraer los incisivos inferiores.
- Arcos Labiales Superiores: Para protruir los incisivos superiores o estimular el crecimiento maxilar.
- Elementos que Restringen el Crecimiento Mandibular: Aunque no lo detienen, pueden redirigirlo.
- Plano Inclinado Anterior: Puede utilizarse para guiar la mandíbula hacia atrás durante el cierre.
El objetivo es lograr una relación oclusal Clase I, ya sea estimulando el avance del maxilar superior o controlando el crecimiento del inferior.

| Característica | Modelo A (Clase II) | Modelo B (Clase II + Vertical) | Modelo C (Clase III) |
|---|---|---|---|
| Indicación Principal | Clase II con protrusión/retrusión | Clase II con mordida abierta/profunda | Clase III con prognatismo mandibular |
| Objetivo Principal | Avance mandibular / Retrusión maxilar | Corrección vertical (intrusión/extrusión) | Avance maxilar / Retracción mandibular |
| Elementos Típicos | Arcos labiales, resortes coffin | Planos inclinados, apoyos oclusales | Arcos linguales, plano inclinado anterior |
| Manejo de Dimensión Vertical | Menor énfasis directo | Énfasis significativo | Énfasis indirecto según el caso |
Ventajas y Consideraciones del Aparato de Bimler
El aparato de Bimler, como cualquier herramienta terapéutica, presenta una serie de ventajas que lo hacen una opción atractiva en ciertos escenarios, así como consideraciones importantes a tener en cuenta.
Ventajas:
- Estimulación del Crecimiento Natural: Su principal fortaleza es que trabaja con los procesos biológicos del cuerpo, guiando el crecimiento óseo y muscular de manera más fisiológica. Esto puede resultar en una mayor estabilidad a largo plazo.
- Removible: Al ser un aparato removible, facilita la higiene oral, ya que el paciente puede retirarlo para cepillarse los dientes y usar hilo dental. También permite comer con mayor comodidad, aunque se recomienda retirarlo durante las comidas.
- Menos Invasivo: No requiere la adhesión de brackets o bandas a cada diente, lo que puede ser preferible para pacientes que buscan una opción menos visible o intrusiva.
- Comodidad Relativa: Aunque el período de adaptación es necesario, muchos pacientes encuentran el Bimler más cómodo que los aparatos fijos a largo plazo, ya que no hay alambres o brackets que puedan irritar los tejidos blandos.
- Potencial de Tratamiento Temprano: Es ideal para la ortopedia interceptiva en niños y adolescentes, aprovechando los picos de crecimiento para lograr correcciones significativas.
Consideraciones:
- Dependencia de la Colaboración del Paciente: Al ser removible, el éxito del tratamiento depende en gran medida de que el paciente use el aparato el número de horas indicado por el ortodoncista (generalmente, la mayor parte del día y la noche). La falta de colaboración puede comprometer seriamente los resultados.
- Efectividad Limitada en Casos Graves: Si bien es muy eficaz para maloclusiones moderadas, los casos de maloclusión muy severa o aquellos que requieren movimientos dentales complejos específicos pueden necesitar una combinación con aparatos fijos o incluso cirugía.
- Período de Adaptación: Al principio, los pacientes pueden experimentar dificultades para hablar (ceceo) o un aumento de la salivación, lo cual suele mejorar con la práctica en pocos días o semanas.
- Riesgo de Pérdida o Daño: Al ser removible, existe el riesgo de perder el aparato o dañarlo si no se almacena correctamente cuando no se usa.
Preguntas Frecuentes sobre el Aparato de Bimler
¿A qué edad se recomienda usar el aparato de Bimler?
El aparato de Bimler es más efectivo durante las fases de crecimiento activo de los niños y adolescentes. Generalmente, se recomienda iniciar el tratamiento entre los 8 y los 14 años, aunque la edad ideal puede variar según el tipo de maloclusión y el patrón de crecimiento individual del paciente. Aprovechar este período permite guiar el desarrollo óseo de manera más eficiente.
¿Cuánto tiempo se debe usar el aparato de Bimler al día?
La duración del uso diario es crucial para el éxito del tratamiento. Por lo general, se recomienda usar el aparato durante un mínimo de 14 a 16 horas al día, incluyendo las horas de sueño. En muchos casos, el ortodoncista puede indicar un uso de 20 a 22 horas diarias, retirándolo solo para comer y para la higiene oral.
¿Es doloroso usar el aparato de Bimler?
Generalmente, el aparato de Bimler no causa dolor agudo. Al principio, es común sentir una ligera presión o molestia a medida que la boca se adapta a su presencia. También puede haber un aumento de la salivación o dificultades temporales en el habla. Estas sensaciones suelen desaparecer en unos pocos días o una semana a medida que el paciente se acostumbra al aparato.
¿Cómo se limpia el aparato de Bimler?
La higiene del aparato es fundamental para evitar la acumulación de placa y bacterias. Se debe limpiar a diario con un cepillo de dientes y jabón neutro o una pasta dental no abrasiva. Algunos ortodoncistas pueden recomendar pastillas efervescentes limpiadoras específicas para aparatos removibles. Es importante enjuagarlo bien con agua fría y nunca usar agua caliente, ya que podría deformar el acrílico.
¿Se puede comer con el aparato de Bimler puesto?
No, se recomienda retirar el aparato de Bimler para comer. Esto evita que los alimentos se queden atrapados en el aparato, lo que podría dificultar la limpieza y aumentar el riesgo de caries. Además, masticar con el aparato puesto podría dañarlo o deformarlo.
¿Cuánto tiempo dura el tratamiento con el aparato de Bimler?
La duración del tratamiento varía significativamente según la complejidad de la maloclusión, la edad del paciente y, muy importante, la colaboración en el uso del aparato. Un tratamiento puede durar desde 12 a 24 meses, o incluso más en casos complejos. El ortodoncista realizará revisiones periódicas para ajustar el aparato y monitorizar el progreso.
Conclusión
El aparato de Bimler representa una solución inteligente y eficaz en el campo de la ortopedia funcional. Su capacidad para influir en el desarrollo óseo y muscular de la cavidad oral lo convierte en una herramienta invaluable para corregir maloclusiones de Clase II y Clase III, especialmente cuando se utiliza en las etapas de crecimiento activo. Al promover un tratamiento que respeta la biología natural del paciente, el Bimler no solo busca alinear los dientes, sino también establecer una función oral armoniosa y una estética facial equilibrada. Si bien su éxito depende en gran medida de la constancia y colaboración del paciente, los resultados que puede ofrecer son una sonrisa no solo bonita, sino también funcional y saludable a largo plazo. Es un testimonio de cómo la innovación en ortodoncia puede ofrecer alternativas menos invasivas y más adaptadas a la fisiología individual, abriendo camino a sonrisas radiantes y bien alineadas.
Si deseas conocer otros artículos similares a Aparato de Bimler: Ortodoncia Funcional Clave, puedes visitar la categoría Ortopedia.
